屈光不正
近视
远视
老花
散光
近视治疗
准分子激光
飞秒激光
ICL晶体植入
高度近视
常见眼病
斜视
白内障
弱视
青光眼
综合眼病
结膜病
眼底病
麦粒肿
泪道病
角膜病
眼外伤
验光配镜
儿童配镜
成人配镜
MCT眼镜
RGP眼镜

白内障能治么

时间:2017-03-21来源:吉安康明眼科医院
日期:2017-03-21文章来源:吉安康明眼科医院责任编辑:王小玉浏览:

关键词: 白内障,能治,白内障,能治,父亲,67岁,已经,四年,一直,

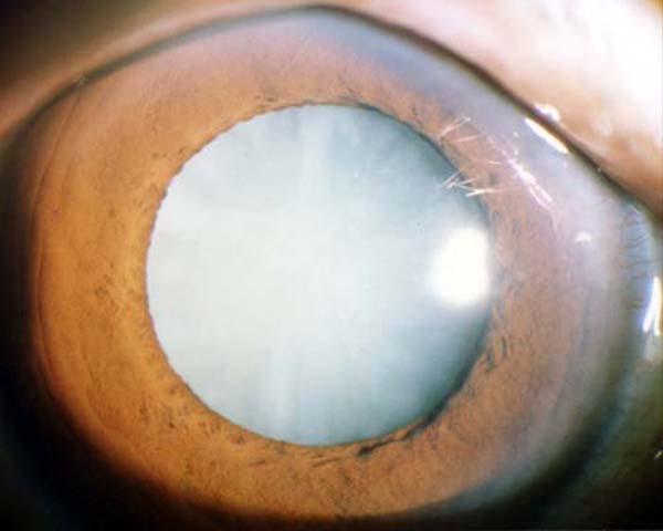
 白内障能治么?父亲67岁,白内障已经四年了,一直没有治疗,最近几个月好像越来越严重了,摔倒了两次,被椅子撞到一次,请问医生白内障能治么?
 
白内障
  白内障能治么?
 
  首先我们需要肯定的是,白内障是可以治疗的。白内障是一种病程比较长的病,从发病到完全失明有的长达20年,开始症状不是很明显,患者可以正常生活,慢慢的症状加重,患者视力下降影响生活。
 
  白内障怎么治?
 
  那么白内障怎么治?白内障患者需要知道一点,手术是治愈白内障的唯一方式。有时候我们会在电视上看到很多白内障眼药水,但是这些眼药水对缓解白内障有一定的帮助,无法从根本上治愈白内障。建议:早期白内障可以试试眼药水,到一定程度了还是尽快做手术。
 
  白内障偏方能治么?
 
  还有些患者咨询,我用老家的偏方可以治疗吗?比如说用茶叶熏眼睛,用盐水敷眼睛,可以治好白内障吗?
 
  曾经我们接诊了这样一位病人,她用菜叶子敷眼睛,最后没治好白内障,反而把眼角膜敷发炎了。原本做个小手术就好了,没想到治疗难度增加了,得先治疗角膜炎。所以白内障患者慎重尝试偏方,到正规医院检查诊断治疗。
 
  白内障能治么?白内障手术目前最先进的是白内障超声乳化术,切口小,损伤小,无需缝线,术后恢复快,第二天就可以拆下纱布,眼睛恢复视力。
点击进入咨询 专家为您解答
分享到:

上一篇:影响白内障治疗费用的因素有哪些 下一篇:白内障如何治疗?

推荐专家更多>>

先进设备更多>>

Pentacam(眼前节分析
主治:德国Pentacam----眼前节断层图像学的金标准,全世界第 ...
  • No.1
  • No.2
  • No.3
  • No.4
  • No.5
  • No.6

经典案例更多>>

眯眼看东西是近视吗?
眯眼看东西是近视吗? 暑假已至 现在正…[详情]
孩子查视力为什么散瞳验
孩子查视力为什么散瞳验光 散瞳验光定…[详情]
外伤性白内障
外伤性白内障 【病因】 眼球穿孔伤及挫…[详情]