吉安康明眼科医院引进最新一代 美国光视Angio OCT
时间:2018-10-16来源:未知
日期:2018-10-16文章来源:未知责任编辑:admin浏览:次
关键词: 安康,明眼,科医院,引进,新一代,国光,Angio,OCT,
吉安康明眼科医院引进最新一代
美国光视Angio OCT
对于年老的高龄患者、肾功能有损害的糖尿病患者、青光眼患者、老年黄斑变性患者、视神经和眼底缺血患者、视网膜血管阻塞、过敏体质患者等患了严重的眼底病时往往需要进行眼底血管造影来明确诊断,利于及时治疗。因为血管造影需注射造影剂,是有创检查,有些患者对造影剂过敏,有些人肾功能不好不适合造影,高龄老人伴心血管系统疾病不适合造影等。这些患者往往因为无法造影不能及时明确诊断和进行恰当的治疗,也给医生都造成很大的困惑。

现在,有了“OCTA”这个新的检查设备,以上的问题都能很好的解决了,这项检查不但可以尽快明确诊断而且无创伤、非侵入、无痛苦、快捷方便。该设备不但可以清晰的显示视网膜、脉络膜毛细血管,而且可以具有OCT的功能同时清晰的显示视网膜各层的组织结构。该设备主要应用于视网膜血管疾病,脉络膜新生血管疾病,脉络膜肿瘤,糖尿病视网膜病变,脉络膜炎、青光眼及视神经血供的分析等的诊断和治疗效果的观察。
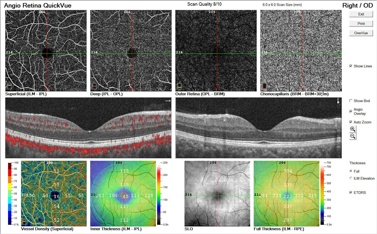
Angio OCT是一种非侵入性、无染料的快速分层观察眼底微循环毛细血管血流的新技术,由美国光视OPTOVUE唯一实现临床化并独家发布;能以无创的操作方式观察视盘、黄斑,甚至是脉络膜的血管形态。对于眼底病和青光眼的定性和定位诊断有着超越以往所有造影检查的安全性和准确性,具有很高的检查效率。
1、12*9mm广角EnFace,3mm扫描深度,3μm高清分辨率。
2、CNV治疗评估:血流面积测量,血流密度测量。
3、评估无灌注区域:无血流面积测量。
4、应用血流作为内在对比剂,无需注射造影剂。
5、青光眼患者早期随访:监测青光眼盘内及盘周血流。
黄斑OCT血流:
ANGIO OCT清楚显示 CNV:
OCT
抗VEGF 治疗CNV后的无创随访:
监测青光眼盘内及盘周血流
上一篇:近视眼长期不佩戴眼镜,眼睛会怎么样呢? 下一篇:您必须了解的五种致盲眼病